本文主要是介绍如果你失去了半个大脑会发生什么?,希望对大家解决编程问题提供一定的参考价值,需要的开发者们随着小编来一起学习吧!
有时,为了挽救生命,必须采取激烈的措施。神经外科最激烈的手术之一是大脑半球切除术,即完全切除大脑的一半(或半脑)。当所有其他治疗方案都失败时,这种手术只在非常罕见的顽固性癫痫病例中进行,作为最后的努力。这背后的想法是,通过移除受影响的大脑半球,可能危及生命的癫痫发作频率会减少或完全消失。

发表在科学期刊《Cell Reports》上的一项新研究调查了几名在幼儿期切除一半大脑的患者的大脑网络(Kliemann等人,2019年)。这些结果让我们对人类大脑在遭受严重损伤后(如果损伤发生在生命早期)仍能进行自我重组的非凡能力有了深刻的认识。

研究人员使用了一种称为静息态fMRI(功能磁共振成像)的神经科学技术。静息态 fMRI 是 fMRI 的一种变体,一种用于在某人执行特定任务(例如说话或移动手指)时制作大脑图像的技术。

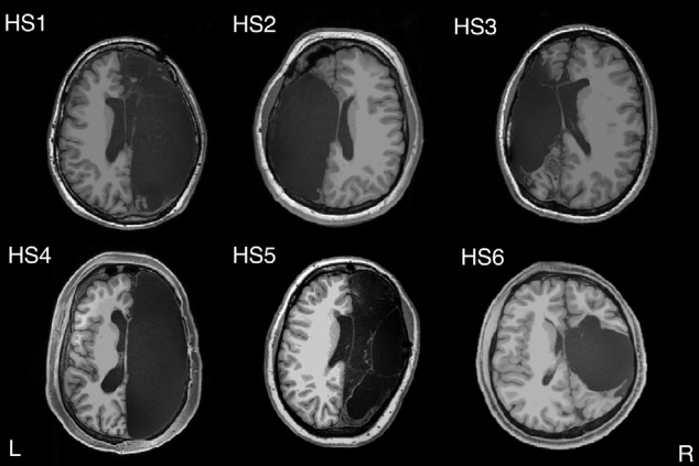
图 1. 半球切除脑解剖
六名成年参与者接受了左侧(n = 2、HS2 和 HS3)或右侧(n = 4、HS1、HS4、HS5 和 HS6)半球切除术。轴向切片在前/后连合线上方最低限度地进行。L, 左; R,右。Cell Reports 29, 2398–2407, November 19, 2019 2399
为了生成一系列静息状态图像,研究人员会要求患者在 MRI 扫描仪中静止不动,不要做任何特别的事情。然而,即使没有被赋予任何特定任务,大脑也会表现出大量活动。通过确定空闲大脑中哪些大脑区域同时活跃,研究人员可以确定通常一起活跃的大脑区域的功能网络。使用这种技术,研究人员已经在大脑中识别出几种不同的网络——例如,与走神和白日梦有关的所谓默认模式网络。
科学家们研究了一组患者的静息状态网络,这些患者在童年早期就经历了一半的大脑切除,并将他们与仍保留一半大脑的对照组参与者进行了比较。结果相当令人惊讶。虽然人们认为切除一半大脑会严重损害这些患者的大脑组织,但他们的神经网络看起来与健康对照组非常相似。

分割方案
研究人员确定了七种不同的功能网络(例如与注意力、视觉能力和运动能力相关)。令人惊讶的是,被切除一半大脑的患者在相同的功能网络中显示出大脑区域之间的连接,这与大脑完好的对照组患者非常相似。这表明,在这些网络中,患者显示出相当正常的大脑发育,尽管缺少了一半的大脑。
不过有一个区别:不同网络之间的连接在患者中显着增加。这些增加的连接似乎反映了切除一半大脑后的皮质重组过程。通过在大脑其余部分之间建立更强的联系,这些患者似乎能够应对另一半球的丧失。如果手术在生命早期进行,这些患者中的许多人可以保持正常的认知功能和智力,并过上相当正常的生活。
作者:Sebastian Ocklenburg, Ph.D
德国汉堡 MSH 医学院心理学系心理学研究方法教授。他的研究重点是左撇子和大脑不对称。
翻译:Tina
原文:
https://www.psychologytoday.com/sg/blog/the-asymmetric-brain/201912/what-happens-if-you-lose-half-brain
仅用于学术交流,不用于商业行为,若有侵权及疑问,请后台留言,管理员即时删侵!
这篇关于如果你失去了半个大脑会发生什么?的文章就介绍到这儿,希望我们推荐的文章对编程师们有所帮助!